颈椎结核致截瘫险丧命
三个月前,湖南邵阳的艾女士因一场“突如其来”的病痛陷入困境——颈部疼痛、间歇性发低热。起初她以为是感冒未加重视,直到双下肢无法动弹,当地医院的颈部核磁共振检查才揭开“真面目”:颈部巨大脓肿、脊髓受压、椎体脱位、骨头“被掏空”。
危急时刻,在朋友的建议下,艾女士辗转来到长沙市第一医院脊柱外科。入院检查结果令人揪心:8个椎体不同程度被掏空,最严重的胸1椎体被细菌啃掉90%(图1)、颈部巨大脓肿并流到椎管内压迫脊髓导致双下肢瘫痪(图2),肩部也有巨大的脓包(图2)、重度贫血、严重营养不良。若艾女士的病情无法及时控制,必将危及生命。
图1
图2多学科协助+手术助患者获得新生
脊柱感染性疾病的诊断、治疗、围手术期的管理是非常复杂的。为提升诊疗效率、避免误诊漏诊、优化治疗方案,在长沙市第一医院脊柱外科主任、主任医师向伟能的牵头下,成立了脊柱感染多学科联合诊疗团队,目前通过“手术清除病灶+精准病原学检测+多学科协作”的联合诊疗方案成功治愈300多例脊柱感染患者。
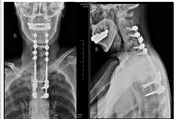
为挽救患者神经功能,抢救患者生命,向伟能迅速组织多学科会诊,为患者量身定制个性化治疗方案:标准四联抗结核治疗、急诊一期颈椎前后路联合病灶清除植骨内固定手术。经过紧急而周密的准备,向伟能团队为艾女士实施了颈椎后路病灶清除椎管减压融合内固定术和颈椎前路病灶清除植骨融合术(图3)。历时6小时,手术团队成功将“蛀骨”病灶一网打尽,并用自体骨填补骨缺损,筑牢脊柱“支撑系统”。得益于成熟的MDT围手术期管理模式,该患者在6小时内顺利完成涵盖9个椎体的融合手术,以及后路联合前路的颈椎病灶清除术,术后患者情况稳定,直接被送返至普通病房,无需转入ICU监护。
术后第一天,艾女士的双下肢活动能力便明显改善,颈部疼痛大幅缓解。在医护团队的精心照护下,通过高蛋白饮食调理、早期康复训练及精准用药,术后复查MRI显示脓肿基本清除(图4),患者双下肢肌力恢复4级。术后10天患者顺利出院。家属紧握医生的手感慨地说:“是你们的团队给了她重新站起来的机会!”
图3
图4术后3月患者可在辅助下行走,未来康复的路还很漫长,衷心祝愿她能再一次用自己的脚步去丈量这个美丽的世界。
向伟能主任强调,脊柱结核是一种可怕但可防可治的疾病。如果长期颈肩腰背痛、乏力盗汗、甚至出现脊柱变形,一定要尽早就医,排查是否为结核杆菌作祟。通过科学的预防和治疗,我们可以有效控制结核病,保护自己和家人的健康。
责编:王璐
一审:王璐
二审:梁湘茂
三审:谢峰

湖南日报新媒体



