大众卫生报·新湖南客户端7月17日讯(通讯员 鄢婷 肖会玲)近日,娄底市第一人民医院呼吸与危重症医学科团队成功完成多例超声支气管镜引导下经支气管针吸活检术(EBUS-TBNA),为肺癌及纵隔病变患者带来了更精准、安全的诊断选择。

45岁的陈女士,2个月前突然出现全身关节疼痛。随着病情进展,她开始出现反复发热、畏寒、全身酸痛等症状,便赶到娄底市第一人民医院寻求诊治。
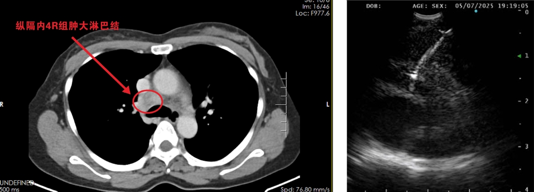
胸部CT检查显示,陈女士右肺上叶存在占位性病变、右肺门及纵隔多发淋巴结肿大,考虑恶性肿瘤伴淋巴结转移。
“患者病灶位置特殊,紧贴肺动脉主要分支,传统活检方式风险较高。”呼吸与危重症医学科二区主任陈茂辉介绍,科室讨论后决定采用EBUS-TBNA术,该技术能实现实时超声引导下的精准穿刺,有效规避血管风险。

“EBUS-TBNA技术通过将超声探头与支气管镜相结合,能够清晰显示纵隔、肺门等深部组织的实时影像,实现精准活检取样。”陈茂辉介绍,相比传统开胸手术或纵隔镜检查,该技术仅需2-3毫米的微创切口,就能安全获取病变组织,避免了出血、气胸等并发症风险,具有微创、精准、安全、费用低等优点。
考虑到陈女士正值壮年且家庭经济困难,医疗团队将“快速确诊、精准治疗”作为首要目标。
左图为CT所示病灶部位;右图为EBUS-TBNA超声影像。
在完善术前评估并与家属充分沟通后,陈茂辉带领团队在麻醉手术科的配合下,顺利完成手术。术中超声实时导航精准避开血管,成功获取病变组织。
经病理检查,陈女士确诊为肺腺癌。基于这一诊断,医疗团队结合患者具体情况制定了个性化综合治疗方案,为后续治疗赢得了宝贵时间。
陈茂辉表示,EBUS-TBNA是近年来呼吸介入领域最重要的进展之一。经EBUS引导支气管针吸活检(TBNA)定位准确、创伤小、阳性率高、操作方便, 将支气管镜检查范围从腔内扩展到纵隔深部组织,为肺癌、淋巴瘤等疾病的诊断和分期提供了可靠依据。
责编:洪学智
一审:洪学智
二审:陈艳阳
三审:谢峰
来源:大众卫生报·客户端

湖南日报新媒体



