湖南日报全媒体记者 张春祥 通讯员 庞帆
“现在每天能走上万步,胸口也不痛了,邻居们都夸我气色比生病前还好!”5月23日,出院不久的苏先生,接到韶山市人民医院重症医学科主任赵帅的回访电话后,开心不已,他说自己还成了社区健康宣传员,经常给街坊邻居科普胸痛症状的严重性。很难想象,一个来月前,苏先生经历了一场“生死别离”,在没有脉搏的血管里穿刺,最终夺回生命!

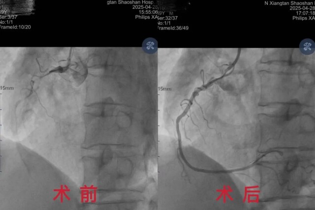
4月28日下午,一通紧急的120呼叫打破平静——59岁的苏先生突发胸闷、意识丧失。急救车呼啸而至,急诊科迅速响应,赵帅接到会诊电话后,火速赶到抢救现场。触到患者冰凉的皮肤、监测仪上持续下降的心率,赵帅心头一紧:“时间就是生命,必须立刻开通血管!”

面对患者微弱的脉搏,赵帅迅速制定介入手术方案。凭借丰富的手感与经验,精准找到目标血管并成功置入导丝。然而,死神在此刻发难——患者心脏突发室颤,心电监护仪发出刺耳警报。“先除颤!稳定生命体征!”赵帅果断下达指令。团队默契配合,连续电除颤,同时持续进行心肺复苏。待患者心律稍有稳定,赵帅立即操作导管,穿过狭窄堵塞处,顺利送入球囊,精准地释放支架,原本闭塞的血管逐渐恢复通畅,让心脏重获新生。
一场与和时间赛跑的生死抢救,任何一个环节都不容有半点闪失,否则后果难以想象……当苏先生转入普通病房时,病房里响起阵阵掌声。
从死神手中抢人,靠的不仅是“敢打硬仗”的勇气,更是急危重症+急症介入多学科协作的硬核实力。“看着患者康复,所有的付出都值得!”赵帅说。
作者:张春祥
责编:张春祥
一审:张春祥
二审:杨丹
三审:杨又华
来源:湖南日报

湖南日报新媒体


