湖南日报全媒体记者 周阳乐 通讯员 李雅雯
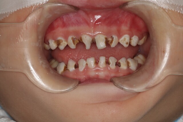
“本想着孩子以后反正还会换牙,就没有重视起来。” 近日,4岁的女孩乐乐因为牙疼不止,被妈妈带到湖南省儿童医院口腔科就诊,经该院口腔科副主任游弋检查发现乐乐竟有10多颗龋齿。乐乐妈妈说,乐乐特别爱吃甜食,又不爱刷牙,刷牙总是断断续续的,
游弋表示,儿童龋齿是儿童最常见的口腔问题。当口腔没有及时清洁时,口腔中的细菌,尤其是变形链球菌和乳酸杆菌,会附着在牙齿表面,形成一层薄膜——牙菌斑。当人们摄入含糖食物后,这些细菌会利用糖分作为能量来源,进行代谢产生酸性物质,如乳酸和其他有机酸。这些酸性物质会使口腔环境的pH值下降,当pH值低于牙齿釉质的溶解阈值时,釉质开始溶解并流失,导致釉质脱矿。随着矿物质的流失,牙齿釉质的硬度和强度降低,逐渐形成微小的孔洞或凹陷——龋洞。从上述过程不难看出,龋齿的“真凶”是细菌,但甜食中的糖是重要的参与者,为细菌分解代谢产酸提供了能量。因此,预防龋齿,必须要控制糖的用量。
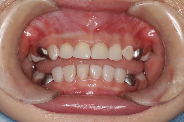
游弋第一时间对乐乐进行了口腔评估,在完善麻醉术前检查和评估后,为乐乐实施了全麻下患牙一次性舒适化治疗,包括龋齿充填、根管治疗、牙冠修复以及涂氟等治疗。3小时后,乐乐顺利完成治疗,乐乐妈妈也长舒了一口气:“原以为乐乐坏了这么多颗牙,可能需要跑医院很多趟,而且孩子对看牙极不配合,想想就头痛,现在好了,一次就全部解决了。”在医院观察4小时后,乐乐开心地跟妈妈回家了。

乐乐治疗前

乐乐治疗后
有没有两全其美的方法,让像乐乐这样喜欢甜食的孩子既享受了美味,又能避免蛀牙的产生?游弋介绍了几个科学吃糖的小妙招。
1.控制吃糖的频率:吃糖的频率对于龋齿的发生有着重要的影响,在总摄入量相同的情况下,分次、多次食用含糖零食,会使口腔长时间处于酸性的环境中,从而使龋病的发生率增加。因此,尽量减少每天吃糖的次数,避免频繁地让牙齿暴露在糖分中。可以选择在正餐时吃糖,然后及时漱口或刷牙,减少糖分在口腔中的停留时间。
2.选择健康糖源或使用低糖或代糖食品:优先选择天然含糖食品,如新鲜水果,它们不仅含有糖分,还有纤维、维生素和矿物质。还可以选择含糖量较低的食品,或者使用木糖醇等代糖产品,这些甜味剂不容易被口腔中的细菌利用,从而减少蛀牙的风险。
3.注意口腔卫生:吃完糖后及时漱口,使用含氟牙膏刷牙,以帮助牙齿抵抗酸性物质的侵蚀。定期使用牙线清理牙缝中的食物残渣,减少细菌滋生的机会。另外,避免在睡前吃糖,因为睡眠时唾液分泌减少,糖分更容易被细菌利用,增加蛀牙的风险。
4.合理安排饮食:保持均衡的饮食,多吃富含钙和磷的食物,如乳制品、鱼类和绿叶蔬菜,这些营养素有助于牙齿健康。多吃富含纤维的蔬菜和水果,有助于清洁牙齿表面。
5.定期口腔检查:儿童每3个月到半年,成人每半年或一年到医院进行一次口腔检查,及时发现并治疗早期的蛀牙,防止问题恶化。
刷牙小贴士:
儿童2岁左右开始学习刷牙,适合儿童的刷牙方法是“圆弧刷牙法”,具体操作方法是将刷毛放置在牙面上,轻压使刷毛弯曲,在牙面上画圈,每部位反复画圈5次以上,前牙内侧需将牙刷竖放,牙齿的各个面均应刷到。选择大小适宜的儿童牙刷,每两至三个月更换一次,当出现牙刷毛外翻或倒毛时,应及时更换牙刷,做到一人一刷一口杯。每天早晚刷牙,每次刷牙时间不少于2分钟,晚上睡前刷牙更重要。学龄前儿童很难完成精细复杂的刷牙动作,需要家长帮助和监督。
口腔保健小贴士:
1.为适龄儿童进行窝沟封闭:窝沟封闭是预防窝沟龋的最有效方法,是用高分子材料把牙齿的窝沟填平后,牙面变得光滑易清洁,细菌不易存留,从而预防窝沟龋。窝沟封闭是一种无创技术,不会引起疼痛。建议6-8岁可以进行第一恒磨牙(六龄齿)的窝沟封闭,11-13岁可以进行第二恒磨牙的窝沟封闭。
2.使用氟化物防蛀牙:使用含氟牙膏刷牙是安全、有效的防龋措施,在非高氟饮水地区的3岁以下儿童每次用量为“米粒”大小,3-6岁儿童每次用量为“豌豆粒”大小,并应在家长或老师的监督指导下应用。儿童还可以每半年到医院接受一次牙齿涂氟。给牙齿刷上一层保护膜,其中的氟化物缓慢释放出来,可预防龋病。
作者:周阳乐
责编:李传新
一审:周阳乐
二审:杨丹
三审:杨又华
来源:湖南日报

湖南日报新媒体

