在炎热的夏天,防晒喷雾成为我们许多人的必备品。近期,关于防晒喷雾使用不当引发“白肺”的讨论在网上流传。防晒喷雾使用不当真的会伤害肺部吗?我们应该如何正确使用防晒喷雾?炎炎夏日如何保护好孩子皮肤?一文速览。

▲图/央视新闻
防晒喷雾使用不当会伤害肺部?
就在本月,杭州市儿童医院呼吸内科转入了两位特殊的小病人——两位小朋友在家里发现了妈妈的防晒喷雾,俩人就在房间里玩了起来,相互对喷了半小时,120ml的防晒喷雾一下子用掉了半瓶。

▲图/杭州市儿童医院
结果,不久两个孩子都出现了阵发性刺激性干咳,还出现了头痛、呕吐,家人赶紧送到医院就诊,胸片检查显示,有肺炎征象,医生及时给予治疗。
据“浙大儿院”公众号4月29日消息,有天晚上9岁女孩朵朵(化名)因为在家玩防晒喷雾,随即出现了胸闷伴气促的症状,其间还呕吐了1次。妈妈事后发现,孩子整整喷掉了大半瓶喷雾。
胸片提示两肺散在可疑斑片影,胸部CT提示两肺炎症性改变,医生拟“过敏性肺炎”收住入院。由于肺部有渗出,没办法进行正常气体交换,氧气进不到血里,朵朵还一度因为缺氧被下了病危通知。
收治入院后,开展进一步检查。医生根据检查结果,确诊为过敏性肺炎。明确诊断后,开展激素治疗,症状很快缓解,其间还配合使用雾化治疗,加速病情的康复。治疗5天后,朵朵顺利康复出院。
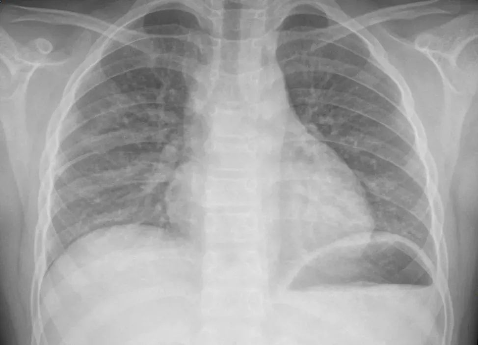
据人民日报微博4月8日消息,前不久,湖南长沙一医院,一患者因呼吸困难和咳嗽前来就诊,CT影像显示双肺出现严重“白肺”。医生仔细询问后诊断,患者因对着面部喷涂防晒喷雾且有吸入情况,引起了急性过敏性肺炎。
只是喷个防晒喷雾,
肺部怎么就受损了?
4月15日,国家药品监督管理局发布文章指出,防晒“喷雾”化妆品不当使用主要有两方面的安全风险:一是吸入风险。消费者在皮肤上使用防晒“喷雾”化妆品时,可能会无意中吸入喷出的液滴,这些液滴可能包含防晒剂、挥发性有机化合物、香料、防腐剂等各类化妆品原料,在狭小密闭空间中密集使用时,比如:在车窗关闭的汽车内,可能造成短时间内大量吸入,从而可能引发健康风险,尤其是对气道敏感度较高的过敏体质儿童,容易诱发剧烈咳嗽或喘息发作。与喷雾剂型化妆品相比,气雾剂型化妆品由于喷出的液滴相对更小,因此在使用时吸入风险相对更大。二是易燃易爆风险。由于气雾剂型产品中使用的推进剂可能是丁烷、丙烷等易燃物质,且处于液化的高压状态,遇火源易发生爆燃事故。因此,防晒“喷雾”化妆品在使用和存放时需要关注防火防爆的问题。

▲截图/ 健康郑州公众号
医生表示,“白肺”一般是指重症肺炎在X线或CT检查下的表现,患者肺部呈现一大片的白色状态,往往会出现呼吸困难、呼吸衰竭,严重者还会出现其他脏器功能障碍。
感染、弥漫性肺泡出血综合征等是“白肺”最常见的病因,除此之外,吸入有害物质如粉尘、喷雾等也可能会导致肺部出现大范围白色样病变,也就是说如果长期不正确使用防晒喷雾,有可能导致“白肺”。
2023年8月31日中国食品药品检定研究院发布的《儿童化妆品技术指导原则》指出:“不建议儿童使用喷雾型防晒化妆品,如必须使用时,应当充分考虑吸入风险,在使用方法中标注‘请勿直接喷于面部’‘避免吸入’等类似警示用语。”
此外,医生提醒,过敏性肺炎
分为急性、亚急性和慢性三种病程态。
●如果在一个夏季或更长时间里,对着面部使用防晒喷雾时即使做到了闭气,但环境中充满的悬浮微粒不会很快沉降消散,在不自知的情况下还是会被吸入肺中,这属于长期慢性接触史,肺部的损害就属于亚急性病程状态。
●如果这个过程超过半年以上,就可以确定为慢性病程状态。这个过程中可能没有出现咳嗽或不适应的症状,因此没有预警,也很难引起患者的重视,但会给肺部造成不可逆的损伤。
我们应该如何正确使用防晒喷雾?
▶选用温和无刺激、适合自己肤质的产品。如果对酒精不耐受,不要选用含有酒精的防晒喷雾。
▶因个人肤质不同,首次使用前可以把少量防晒喷雾涂抹在耳后、肘关节内侧等部位进行皮试,保持24~72小时,确定无不适反应以后再进行使用。
▶使用防晒喷雾时主要喷洒在身体部位,使用时与皮肤至少保持15~20厘米的距离。使用于面部和颈部时,请先喷洒在手上,然后用手均匀涂抹。若不慎入眼,要立即用水清洗;如有不适要暂停使用。
▶不要在肌肤伤口、红肿或湿疹等有异常的部位使用防晒喷雾。
▶不要在同一个身体部位近距离(如10厘米内)连续喷洒超过3秒,防晒喷雾中的推进剂喷出后会迅速挥发吸热,长时间或者近距离使用可能会冻伤皮肤。
▶不要在卫生间、车内等狭小密闭不通风空间内使用,喷洒时要注意通风,使用时紧闭口鼻,勿刻意吸气,避免大量吸入喷雾。
▶应放在儿童接触不到的地方,儿童应在成人监护下使用防晒喷雾。建议给儿童选择配方温和、标识有儿童化妆品“小金盾”的防晒产品。
▶防晒喷雾中通常含有易燃物质,请存放在阴凉干燥通风环境中,避免阳光直晒。使用时应远离火源、热源、静电,不得撞击产品,不得将产品或使用完的空罐刺穿或投入火中。
@家长,这份儿童防晒指南请查收!
儿童的皮肤比较娇嫩,角质层厚度只有成人的三分之一,加上皮肤表皮细胞之间的连接较成人更为疏松,比成年人更容易受紫外线伤害。家长怎样为小朋友做好防晒?又该如何为儿童选购防晒产品呢?一起来看。
★户外活动时间要恰当
上午10点至下午4点间是紫外线最强的阶段,家长带孩子出去户外晒太阳或玩耍时,应尽量避开这个时间段。夏季户外活动时,如果太阳还比较猛烈,也应尽量选择在户外的阴凉处待着。
★遮挡式防晒
遮阳伞、太阳帽和衣物等织物产品可直接遮挡日光。织纱密度越高、颜色越深、或加有防晒涂层,其紫外线吸收能力就越强,防晒效果越好。
选择帽檐长一些的防晒帽,会有较好的防晒效果。建议挑选紫外线防护系数(UFP)> 25,UA透过率<5%标识的织物产品。选购能覆盖全部UV的遮阳镜,尽量减少蓝光和紫光透过。镜面足够宽大能完全遮盖眼睛和眉毛。镜片以深色为宜,但不宜过深以免影响视觉。
★选对防晒霜
防晒霜应按儿童年龄区分,建议6个月以下宝宝尽量选择遮盖的物理防晒。6个月以上的孩子也应以物理防晒为主,如果有特别需要,也可以涂抹防晒指数较低的产品,以减少产品对孩子皮肤的刺激。3岁以下,可选用SPF15—SPF20的防晒产品;3岁以上,如果长期处于暴晒,以防晒为主,遮盖为辅,可选用SPF30—SPF50的产品。
在选择儿童防晒霜时,要避开不必要的香精、色素,以及高风险的防腐剂。给儿童用的防晒霜最好是用氧化锌、二氧化钛为核心的防晒剂。其他化学防晒剂,如甲氧基肉桂酸乙基己酯,长期使用存在干扰激素(荷尔蒙)的风险。
★防晒霜使用注意事项
记得要在出门前15分钟涂抹防晒霜。涂抹量以1元硬币大小产品涂敷于全面部为宜,一般情况下每隔2~3小时需重复涂抹。
脱离光照射环境可以洗掉防晒产品。一般防晒产品,清水或洗面奶即可洗净。抗汗防水性产品则需更仔细彻底清洁,或者使用卸妆产品。清洁后要注意做好保湿。
★晒伤后如何处理?
晒伤是一个渐进过程,家长应该保持密切观察,只要孩子的皮肤开始变得粉红,就说明晒伤的过程已经悄悄开始。
如果孩子在较长时间的日晒后,皮肤出现红斑,并伴有轻度刺痛感,说明皮肤已经被晒伤。出现这种情况后,家长朋友可以用医用棉或者柔软的小毛巾蘸冷水对晒伤部位进行冷敷,必要时应及时带宝宝就医,避免乱用药造成二次损伤。
责编:周倜
一审:周倜
二审:杨丹
三审:杨又华
来源:人民网科普

湖南日报新媒体



