01
什么是智齿?

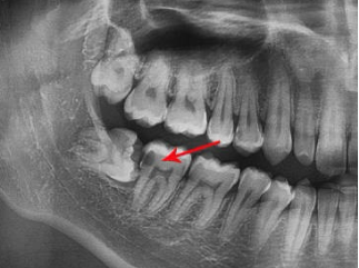
智齿,学名第三磨牙,一般在16-25岁萌出,此时人的生理、心理发育都接近成熟,有“智慧到来”的象征,因此被俗称为“智齿”。由于智齿是最后萌出的牙,当它长出来时,牙床已经没有它的“立足之地”了,因此经常长得“歪七扭八”,无法萌出到正常位置。
对于阻生智齿最好的处理方式,就是在适当的时机尽早拔除,以绝后患;拔得越晚,经历的痛苦、拔除的难度、术后的反应就有可能越大。
02
智齿有哪些危害?
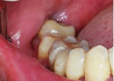
1、智齿冠周炎
由于智齿生长位置不足,因此有部分牙冠被牙龈包围覆盖,在包围牙冠的牙龈与牙齿之间在正常进食后容易藏匿食物残渣,进而引起细菌滋生,导致牙龈红肿发炎,形成智齿冠周炎,严重时化脓形成脓肿,更有甚者向周围肌肉间隙扩散导致面部发炎肿大。

2、智齿龋坏
智齿位于口腔最里面,间隙有限,往往牙刷并不能彻底清洁智齿。时间长了,智齿表面容易发生龋齿,进而发展导致智齿神经发炎,引起疼痛。

3、邻牙龋坏
倾斜生长的智齿和相邻的第二磨牙呈不正常的邻接关系,两颗牙齿之间经常会出现食物嵌塞现象,食物容易发生嵌塞,长期如此导致细菌聚集,造成邻牙龋坏的发生。

4、邻牙牙体吸收
朝向邻牙生长的智齿常无法正常萌出,并长期在第二磨牙远中,这将导致第二磨牙牙体组织吸收,最终缩短第二磨牙的使用寿命。

5、颞下颌关节功能紊乱
非正位生长的智齿因影响正常咬合功能,进而可以诱发颞下颌关节紊乱。常见症状为耳前区弹响和疼痛,甚至运动也会伴有异常,有时候咀嚼肌也会出现疼痛症状。

6、口腔黏膜损伤
当智齿存在明显错位现象时,智齿的牙尖将对我们的黏膜或牙龈造成机械刺激,从而形成创伤性溃疡,出现明显疼痛。

03
哪些智齿应该拔除?
如果智齿生长的位置和方向正常,没有蛀牙,并且智齿冠周软组织没有发炎,无疼痛史,那么就可以不用拔除。
当出现以下情况,建议拔除智齿:
①冠周炎反复发作;
②智齿出现蛀牙;
③智齿前倾;
④无咬合功能的智齿;
⑤影响颞下颌关节活动;
⑥长期刺激口腔粘膜。
另外,女性孕期由于体内激素的变化,以及自身抵抗力下降,容易让那些“歪七扭八”生长的智齿出现发炎症状。而由于孕期的特殊性,在怀孕前后三个月流产和早产的风险高,无法进行拔牙操作,所以即便智齿发炎,医生能做的处理也非常有限,只能够做冠周冲洗这样的保守应急处理。因此,建议各位孕妈妈在备孕的时候去进行一次全面口腔检查,做到防患于未然,争取让你的智齿不要在孕期“惹事”,安心度过孕期。
04
口腔科简介
口腔科系南华大学附属第七医院(湖南省荣军优抚医院)的特色专科,集医疗、教学为一体的口腔医疗中心,位于门诊六楼南侧。科室配备高端牙科综合治疗椅,口腔颌面锥形束CT、数字式牙片机、根尖定位仪、口腔放大设备、镍钛根管治疗仪、热牙胶系统、光固化机、超声波洁牙机等,具备符合国际标准的消毒设备和完善的消毒程序。同时,为方便患者就诊,我科实行预约就诊和保健咨询服务。
科室全体人员将以优良的和饱满的热情,为患者提供舒适、优质、便捷的医疗服务。
开展项目
1、口腔内科:龋齿充填、牙体牙髓病、根尖周病、牙周病、口腔粘膜病、儿童牙科(活髓切断、年轻恒牙保髓治疗、血运重建、根尖封闭、预成冠修复等)、口腔预防保健等疾病的诊治及预防。
2、口腔外科:各类阻生牙及复杂牙的微创拔除、牙槽突整形、唇舌系带修整、离体牙再植及固定、口腔各类囊肿摘除、颌面部感染治疗、颌面部创伤缝合及口腔组织活检。
3、口腔修复:各种牙体、牙列缺损的烤瓷冠、全瓷冠以及微创美容性修复、颞颌关节牙合垫制作、可摘局部义齿和全口义齿的修复治疗。
4、口腔正畸:青少年、儿童早期错颌畸形预防及矫治,成人错颌畸形的固定及隐形矫治。
科室位置:门诊楼六楼
预约电话:18975107875(微信同号)
上班时间:周一至周日
8:00-12:00 14:00-18:00
内容来源:口腔科 吕明敏
责编:周听听
一审:周听听
二审:张马良
三审:熊佳斌
来源:南华附七医院 省荣军优抚医院

湖南日报新媒体



