“幸好来了常德市第一中医医院,要是需要手术真不知道怎么办了,真的很感谢小儿骨科医护人员精湛的医术和贴心的服务。”想起3月3日发生的意外,李女士(化名)仍心有余悸。
原来,在3月3日晚7点左右,李女士带着6岁的儿子垚垚(化名)在昆明游玩时,一个没注意,垚垚从1米左右的栏杆上摔下来,当即左手臂便不能动弹。看着疼得哇哇大哭的孩子,李女士吓坏了,立马带着孩子赶赴医院。当地医院诊断为肘关节骨折合并脱位,并建议切开复位。
切开复位就要动手术,对孩子身体伤害较大不说,后期的愈合速度也比较慢,给生活学习都会造成极大不便。不愿意手术的李女士当晚接连跑了3家医院,都没有得到满意的解决方案。
(垚垚手臂肿胀明显)
(在昆明当地医院做的X光检查可看到垚垚肘关节骨折)
眼见孩子的手臂肿胀得越来越明显,撕心裂肺的哭喊声牵扯着李女士的心。怎么办?
正当李女士六神无主之际,一位朋友的话点醒了她。“到常德市第一中医医院试试,那里的骨科是出了名的好!”于是,一场从昆明到常德的爱心接力拉开序幕。
“对于儿童骨折的情况,无论多晚,坚持走绿色通道启动急诊救治,第一时间缓解孩子的痛苦,让家长放心安心,这是我们科室历年来的传统。”常德市第一中医医院小儿骨科负责人孙锋介绍说。在这样的理念坚持下,3月4日下午6点多,得知李女士已登上返回常德的飞机,孙锋也立马从长沙赶回常德,一边交代患者禁食禁饮,一边协调科室做好准备工作。
经过对垚垚的细致查体,考虑左肱骨髁上骨折并神经损伤,经团队协商,决定予以中医正骨手法复位经皮穿针治疗。
晚上11点,在麻醉科和小儿骨科团队的默契配合下,30分钟就顺利为垚垚完成复位,同时予以固定,垚垚疼痛明显减轻,李女士也终于长舒了一口气。目前,垚垚仍在住院观察,一周后即可出院。
(术中透视)
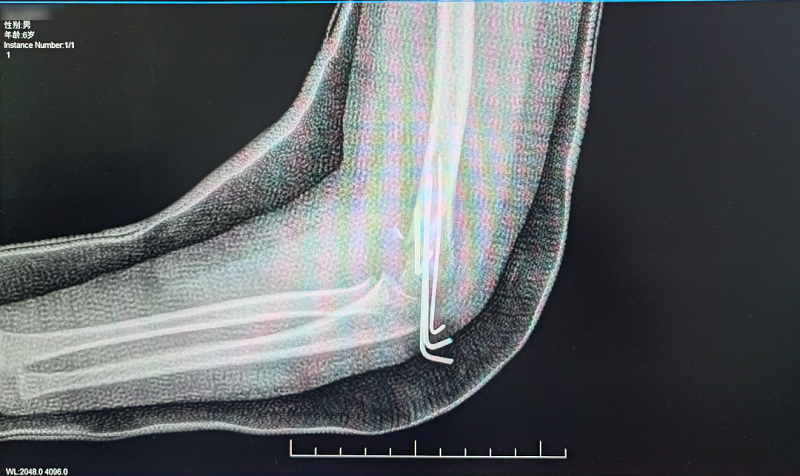
(术后X光图)
相较于切开复位,中医正骨手法复位经皮穿针治疗,具有不需要开刀、不需要二次住院、见效快、恢复期短、后期功能康复快、费用低廉且副作用小的优势。
自2012年常德市第一中医医院开展此项技术以来,至今已成功开展上千例,积累了丰富的救治经验,在患者心目中树立了良好口碑。
当前天气回暖,不少市民选择外出游玩,而孩子由于骨质尚未成熟,且天性好动,缺乏自我保护能力,遭受意外伤害的概率也会明显提高,其中较为常见的一类伤害就是骨折。常德市第一中医医院小儿骨科负责人孙锋提醒市民,孩子发生骨折后,应第一时间对骨折部位进行适当固定,切勿随意拉扯,要尽早送医且尽量找专业的小儿骨科专科医生就诊,避免误诊、漏诊、误治从而耽误治疗。
一审:马曼雅
二审:卜云
三审:姜鸿丽
责编:马曼雅
来源:常德市第一中医医院

湖南日报新媒体

