新湖南客户端2月16日讯(通讯员 刘强)近日,湘西土家族苗族自治州人民医院CT室微创介入团队成功为一名胰腺占位患者实施了CT引导下胰腺穿刺活检术,经病理检查确诊为胰腺癌。该术式的成功开展标志着该院在腹部肿瘤诊断方面取得一大突破,CT介入技术用于肿瘤诊断再上一个新台阶。
据了解,胰腺肿块穿刺活检是胰腺肿瘤诊断的金标准,但因胰腺解剖位置复杂,穿刺中要避开神经、血管和周围脏器组织,穿刺风险大,极易因穿刺不当、术前准备不充分等原因出现肠穿孔、胰瘘、胰腺炎等严重并发症。故该项检查是一项高、精、尖的检查技术,为明确诊断,CT室微创介入团队反复研究穿刺方案及其可行性,最终认为本病变有一定的操作空间,征得患者同意,决定为其实施胰腺穿刺活检术。
胰腺位于人体腹部的中心,前有胃肠道覆盖,后又脊柱和肾脏阻挡,左有脾脏环绕,右有肝脏拦截,所以胰腺病变的位置极易损伤以上脏器。另外胰腺为人体较大腺体,血供极其丰富,胰腺头部有胰十二指肠动脉前后弓环绕,胰腺体尾部有胰背动脉、胰大动脉呈梳状分支供血,这些血供纵横交错,相互交通成网,即使穿刺针达到胰腺附近,也很难避开这些血管,故被称为最难穿刺的部位。
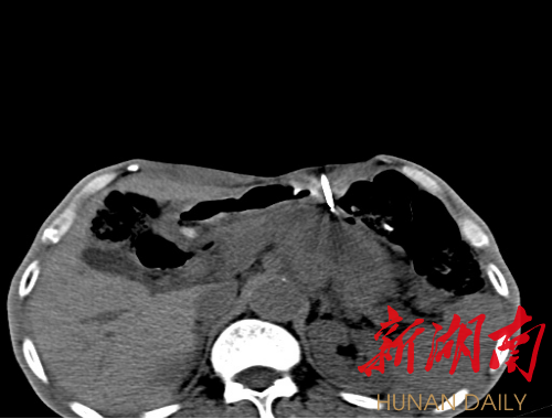
经过术前为患者做好胃肠准备以及局麻后,在CT精准引导下,主任医师邓宏将套管针经皮穿刺,经多次方向调整,快速经过胃前后壁,成功达到胰腺肿块内,医生瞿枫穿入活检针后快速精准取样,顺利完成了这台高难度的穿刺活检术。手术总时长不到20分钟,患者术中及术后无其它不适。经过术后禁食24小时,一个星期后观察没有并发症发生,样本经病理科固定、切片、染色与显微镜,最终诊断为胰腺癌。
“此次穿刺活检术的成功开展标志我院CT介入技术用于肿瘤诊断再上一个新台阶。”CT室主任李方志表示,除了胰腺穿刺,医院微创团队还可在CT引导下进行多部位的经皮穿刺术,常见部位如肺、纵隔、腹盆腔、甲状腺、肝脏、肾脏、肾上腺、胸腹壁、四肢。
(一审:李孟河 二审:李寒露 三审:彭业忠)
责编:李孟河
来源:新湖南客户端

湖南日报新媒体



