芦荟简介
芦荟又称油葱,为百合科芦荟属多年生常绿草本植物,品种繁多,主要产于地中海沿岸、非洲热带沙漠以及亚洲南部地区。
自古以来,芦荟就被用来调和皮肤、呼吸道和胃肠道的许多感染,且有良好的治疗效果[1]。现代临床实践证明,芦荟还具有促进伤口组织愈合、防晒和抗衰老等作用[2]。
此外,由于富含多种活性成分,芦荟已被广泛应用于保健食品、化妆品及医药等领域。
芦荟凝胶简介
芦荟凝胶是芦荟果肉或薄壁组织含有的一种粘性汁液,含有约99.5%的水,剩余0.5~0.6%的固体馏分包含80%的水溶性成分,包括多糖、维生素、酶、氨基酸、矿物质和微量元素等多种营养化合物[1],以及有机酸、酚类、植物甾醇等非营养性化合物。
芦荟凝胶所含部分活性成分
最近一项研究发现,芦荟凝胶可以分离出大约110种潜在的活性成分[3],其功能特性归功于多种化学成分协同作用,而非单一活性成分。
我们进行了皮肤相关功能的评价和机理研究,从动物的创伤修护和皮肤细胞的抗紫外损伤方面进行了科研探索,让我们更深入更科学的理解芦荟凝胶。
伤口愈合实验
实验利用SD大鼠制备了背部创伤模型,以此探讨芦荟凝胶促进损伤皮肤恢复健康状态的效果,以及可能的作用机制。
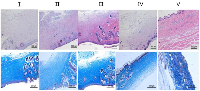
实验采用烫伤仪在大鼠脊柱旁烫伤左、右两组创面,复制大鼠深Ⅱ度烫伤模型;用于各组创面的敷贴分别给予治疗药物,每天1次、连续28天。在第0、7、14、21、28天,科研人员会采用Nagelschmidt法测定每只大鼠的两个创面面积,并于每组各取4只大鼠创面的皮肤组织进行病理组织学检查。
芦荟胶对SD大鼠创伤愈合率的影响
创伤21天后扫描电镜观察
新生皮肤的胶原排列情况
注:与模型组比较 *P<0.05,**P<0.01;与空白凝胶组比较 # P<0.05,##P<0.01;Ⅰ模型组;Ⅱ空白凝胶组;Ⅲ样品组;Ⅳ市售促皮肤愈合药膏对照组;Ⅴ正常皮肤。
实验证明,芦荟凝胶外涂创面能够促进肉芽组织生长、缩短伤口愈合时间、明显提高伤口愈合速率,能够促进毛囊和皮脂腺等附属器官的新生、胶原蛋白束的有序排列以及Ⅲ型胶原纤维的生成。
在实验条件下,芦荟凝胶对于实验动物的皮肤创伤有着较好的促进愈合效果,同时还可以抑制疤痕形成。
创伤21天后新生皮肤组织的HE染色图;创伤21天后新生皮肤组织的马森三色染色图。
注:与模型组比较 *P<0.05,**P<0.01;与空白凝胶组比较 # P<0.05,##P<0.01;Ⅰ模型组;Ⅱ空白凝胶组;Ⅲ样品组;Ⅳ市售促皮肤愈合药膏对照组;Ⅴ正常皮肤。
许多研究表明,芦荟凝胶加快伤口愈合的作用,是通过促进成纤维细胞活性、重塑细胞外基质、增强胶原蛋白间交联和黏多糖的合成、促进伤口组织上皮细胞生长、血管生成和肉芽组织的形成来实现的,其机制也与芦荟凝胶的保湿、抗炎、清除创面自由基、降低创面血糖水平及改善脂质过氧化反应等作用有关[4-6]。
紫外损伤修护实验
根据波长大小
太阳光中的紫外线可以分为三类:
长波紫外线 (UVA)
可穿透真皮层,几乎能全部到达地面;
中波紫外线 (UVB)
可穿透皮肤,大部分可抵达地面;
短波紫外线 (UVC)
被臭氧层所吸收,不能到达地面。
人体受到的紫外线辐射主要为UVA和UVB,长期被它们辐射会导致皮肤严重晒伤等情况,其造成的氧化损伤被认为是皮肤光老化的重要原因,会导致皮肤色素沉着、炎症、加速老化等问题。
紫外损伤细胞修复试验
为研究芦荟凝胶对于皮肤紫外线晒伤的影响,实验利用UVA照射小鼠成纤维细胞模拟紫外线对皮肤细胞造成的损伤,然后用芦荟凝胶进行处理,探究其对紫外线辐射引起的成纤维细胞损伤的影响。
细胞增殖活性
SOD含量
MDA含量
GSH-Px含量
注:与模型组比较 *P<0.05,**P<0.01;与对照组比较 # P<0.05,##P<0.01。
实验结果显示,芦荟凝胶干预后,可以提高损伤细胞的增殖活性,对抗UVA辐射所致的SOD、GSH-Px消耗,减少细胞中MDA的产生,阻止大量氧自由基对生物膜的攻击。
与此同时,芦荟凝胶能有效减少炎性细胞因子IL - 1α、IL - 8的分泌,有效修护角质形成细胞因UVB照射形成的损伤。
以上实验表现出,芦荟凝胶主要通过抗氧化和抗炎机制发挥抗紫外损伤的皮肤修护作用。
祛痘功效评价实验
痤疮是一种常见的皮肤异常状态,它的形成与皮脂腺的调控异常、皮脂腺导管角化过度、痤疮丙酸杆菌等细菌的繁殖和机体的炎症反应与免疫反应密切相关。
由痤疮导致的痘痘往往会严重的影响年轻人的颜值,从而影响个人的自信。
芦荟凝胶的祛痘功效,是建立在完善的动物实验和人体临床评价实验上的。
动物炎症模型试验
为了探究芦荟凝胶的体内抗炎效果,实验采用小鼠炎症模型,模拟人体体内炎症反应。利用角叉菜胶皮下注射致实验小鼠右后足跖肿胀,并促使局部产生大量PEG2、组胺、NO、丙二醛等炎性刺激物,导致炎症产生。
通过芦荟凝胶腹腔注射给药,建模后取小鼠血清和致炎足,探究芦荟凝胶的体内抗炎作用。
小鼠足趾肿胀率
小鼠炎症组织中
PGE2含量
小鼠血清中
NO含量
小鼠血清中
SOD含量
注:实验小鼠分为5组,分别为空白组、模型组、空白凝胶组、芦荟胶组、对照组(市售消肿止痛药膏);与模型组比较 *P<0.05,**P<0.01;与空白凝胶组比较 # P<0.05,##P<0.01。
实验结果显示,芦荟凝胶能够抑制炎症小鼠模型的毛细血管通透性增加情况,抑制炎性介质PEG2、MDA以及血清中NO的合成与释放,增强血清SOD含量并提高自由基清除能力,具有较好的抗炎作用。
经过大量的科学试验验证,研究表明:芦荟凝胶具备祛痘、修护、舒缓、保湿、紧致等功效,是一种理想的皮肤护肤品。
相信在未来,芦荟凝胶会作为一种多功能的天然植物提取物,在化妆品、保健品和医药领域发挥其更加独特的优势。
责编:樊汝琴
来源:完美生科院

湖南日报新媒体



