大众卫生报·新湖南客户端4月2日讯(通讯员 李中连 周红)6岁本是无忧无虑的年纪,但6岁的小雅却整日愁眉苦脸,因为她的左大腿弯曲畸形,不能正常行走,而且六年间出现了6次骨折,无法正常行走奔跑让小雅失去了快乐童年。近日,娄底市骨伤医院小儿骨科为小雅实施了可延长髓内针内固定手术以及多次增骨量的治疗,让小雅弯腿变直,逐步恢复了行走步态,“逆袭”后的小雅变得乐观开朗起来。
出生于2016年的小雅来自涟源市,是家中老二,父母和姐姐都很健康,但小雅出生后,不经意的一跳亦或是轻微的外力都可以造成她骨折。第一次骨折是她出生刚两个月准备洗澡家人帮忙脱衣服时,一个简单温柔的动作竟然造成她左股骨干青枝骨折,在当地医院予以夹板固定后,骨折愈合。2017年12月,小雅在自家平地跌倒致左股骨干再次骨折,尽管经过治疗慢慢愈合,但造成了小雅的左大腿向外侧弯曲畸形,不能正常行走。此后的每一年里,小雅的左大腿不断出现骨折,她被检查出“成骨不全症”(俗称的瓷娃娃),这是一种罕见疾病。为了照顾小雅,父母放弃工作,辗转多家医院寻求治疗小雅的方法,但医院均认为小雅的骨头太脆弱,只敢用石膏外固定保守治疗。可小雅由于多次骨折,左大腿弯曲严重,即使是进行石膏外固定治疗骨折愈合后也不能解决行走问题,外人异样的眼光加上自身的伤痛让小雅常常沉默不语,甚至不敢外出和小伙伴玩耍。
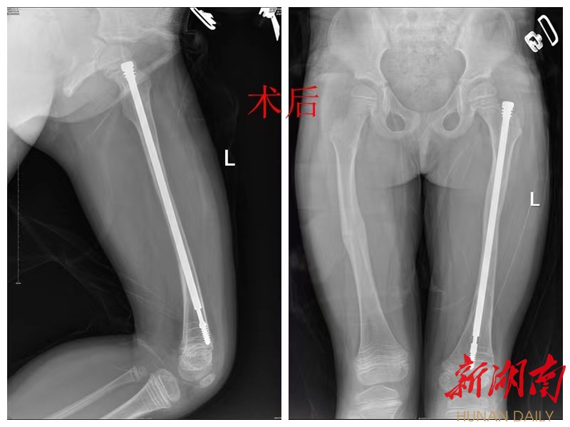
一筹莫展之际,小雅家人意外获悉娄底市骨伤医院小儿骨科擅长于小儿先后天畸形疾病的诊治,于是马不停蹄前来求诊。该院小儿骨科副主任医师胡世密接诊后,经过体查及拍片发现小雅左股骨弯曲成角畸形且直径非常细小、左下肢缩短3厘米、全身骨骼骨密度减低并轻度变形,胸腰椎体扁平呈楔形改变。经小儿骨科主任彭放兵、副主任医师胡世密等专家集体讨论诊断小雅为成骨不全症,骨质相当脆,其左股骨多次骨折已弯曲畸形,髓腔闭塞,需要行截骨矫形手术,因为随着孩子年龄增长,骨骼长度增长,需要内固定长时间保护,所选择了可延长髓内钉固定治疗,内固定在髓腔内可随诊孩子骨骼增长而变长。
然而,给骨折的“瓷娃娃”做手术,就好比在鸡蛋上刻画,为避免术中造成“瓷娃娃”二次骨折,小儿骨科邀请麻醉科主任隆清、手术室护士长彭卫芬等专家团队进行术前大讨论。一切准备充分后,以彭放兵、胡世密为首的小儿骨科专家团队在麻醉科、手术专家的紧密配合下,历经3个小时小心谨慎操作,手术成功完成。
据了解,“成骨不全症”是一种罕见的先天性骨骼发育障碍性疾病,又称“脆骨病”,患有该疾病的儿童常常在轻微外力的作用下就可出现数次甚至数十次骨折史,又称“瓷娃娃”,发病率为1-2例/万名新生儿,大多数为显性遗传。
胡世密介绍说,过去由于得不到规范化治疗,“瓷娃娃”骨折后常常需要复位钢板内固定或外固定支架固定,术后再骨折发生率很高,容易致残,有的需坐轮椅甚至终生卧床。而可延长髓内钉技术通过放置合适的可延长髓内钉,可以有效地防止骨质弯曲并且可以伴随儿童生长发育自然延长,一次手术就可以达到不用更换内固定目的,加上使用磷酸盐制剂改善骨骼质量治疗,使患者骨骼畸形得到矫正的同时加强了骨骼的强度,减少再次骨折的发生,极大地改善患儿的生活质量,减轻了社会负担。
责编:王璐

湖南日报新媒体



