大众卫生报·新湖南客户端11月24日讯(通讯员 廖佳桦)小儿肝脏肿瘤极为少见,手术彻底切除肝肿瘤是治愈小儿肝脏肿瘤的基础 ,也是治疗的难点 ,而巨大肝肿瘤切除术则难度更大、风险更高 。近日,邵阳市中心医院小儿外科在湖南省地市级医院率先运用腹腔镜技术成功治疗小儿肝肿瘤。
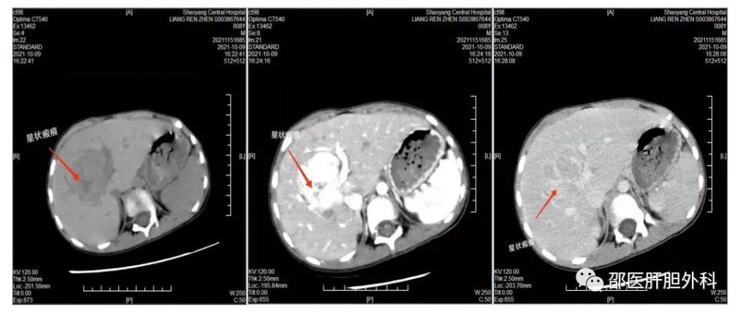
该患儿7岁10个月,因外伤意外发现肝占位,体积(6厘米*5厘米),完善腹部增强CT及MRI,考虑局灶性结节增生,但不排除恶性肿瘤可能。为求手术治疗入住该院小儿外科,入科后进一步完善肝功能储备(ICG<10%),三维重建,并邀请影像科、肝胆外科、小儿外科、麻醉科开展了MDT讨论。考虑到患儿肝肿瘤位于肝中叶(IV+VIII段),周围广泛的肝静脉及门静脉血管包绕肝肿瘤,术中极容易发生大出血,术前请示副院长郑核共同阅片,并结合三维重建图,一起充分预估了手术风险和困难,规划好手术方案。术前反复告知患者家属手术难度大,手术风险高,家属知情理解病情后仍坚持手术治疗,最终决定行腹腔镜肝肿瘤切除术。
在一番充分准备后,10月27日,在副院长郑核和科室主任禹旭平的指导下,由唐立华主任医师和袁中生副主任医师主刀共同完成了腹腔镜肝肿瘤切除。专家们术中采用了间断阻断肝门控制出血,精细解剖第一肝门和第二肝门,充分显露肝脏的管道系统,先结扎后离断,确切止血,避免了撕破肝静脉、门静脉造成出血和术后胆瘘发生。尽管手术难度大,大出血风险高,但凭借专家扎实的肝脏解剖学知识和熟练的肝肿瘤切除操作技术,手术顺利完成,术中出血量少,约50毫升。
患儿术后恢复可,未出现休克 、肝衰竭 、胆漏等并发症 ,术后病理回报:肝局灶性结节增生。医生告知患儿家属小儿良性肿瘤完整肝切除,预后很好,且临床研究表明,术后第1年和第3年生存率是100%。患儿家属喜极而泣,口里不断念叨着感谢的话语。作为医务人员,最大的幸福就是看着自己的患者顺利康复院。
据悉,小儿腹腔空间狭小,腹腔镜下操作十分困难,且小儿发育不全,耐受力差,术中术后风险极大。小儿巨大肝肿瘤腹腔镜切除术均是高难度 、高风险手术 ,小儿肝肿瘤切除术是整个小儿外科的手术难点 ,该院小儿外科依赖充分的术前准备、良好的影像学支持 ,还有精湛的医疗团队,成功拿下了此例手术,彰显了该院小儿外科高超的技术水平,标志着该院小儿外科水平跻身全省先进行列。
责编:许琬婕
来源:大众卫生报

湖南日报新媒体



