
衡东融媒11月22日讯(通讯员 朱灵平)南华大学附属南华医院全科医学科近期收治一例沙门菌感染的病人,该病人习惯生食生鲜,出现症状后来到南华医院就诊,经过医院多学科协作联合治疗以及精心护理后康复出院。
患者颜先生平时身体康健,没有明显的不良嗜好,生活方式也相对健康。然而,大约10天前,他突然出现了腰痛和发热的症状。可惜颜先生并未引起足够的重视,导致病情逐渐恶化并波及右下肢。近几日,颜先生出现了高热,最高体温达到了40℃。他前往多家医院就诊,并做了相关检查,但病因仍未明确。最终,慕名来到南华医院全科医学科就诊。
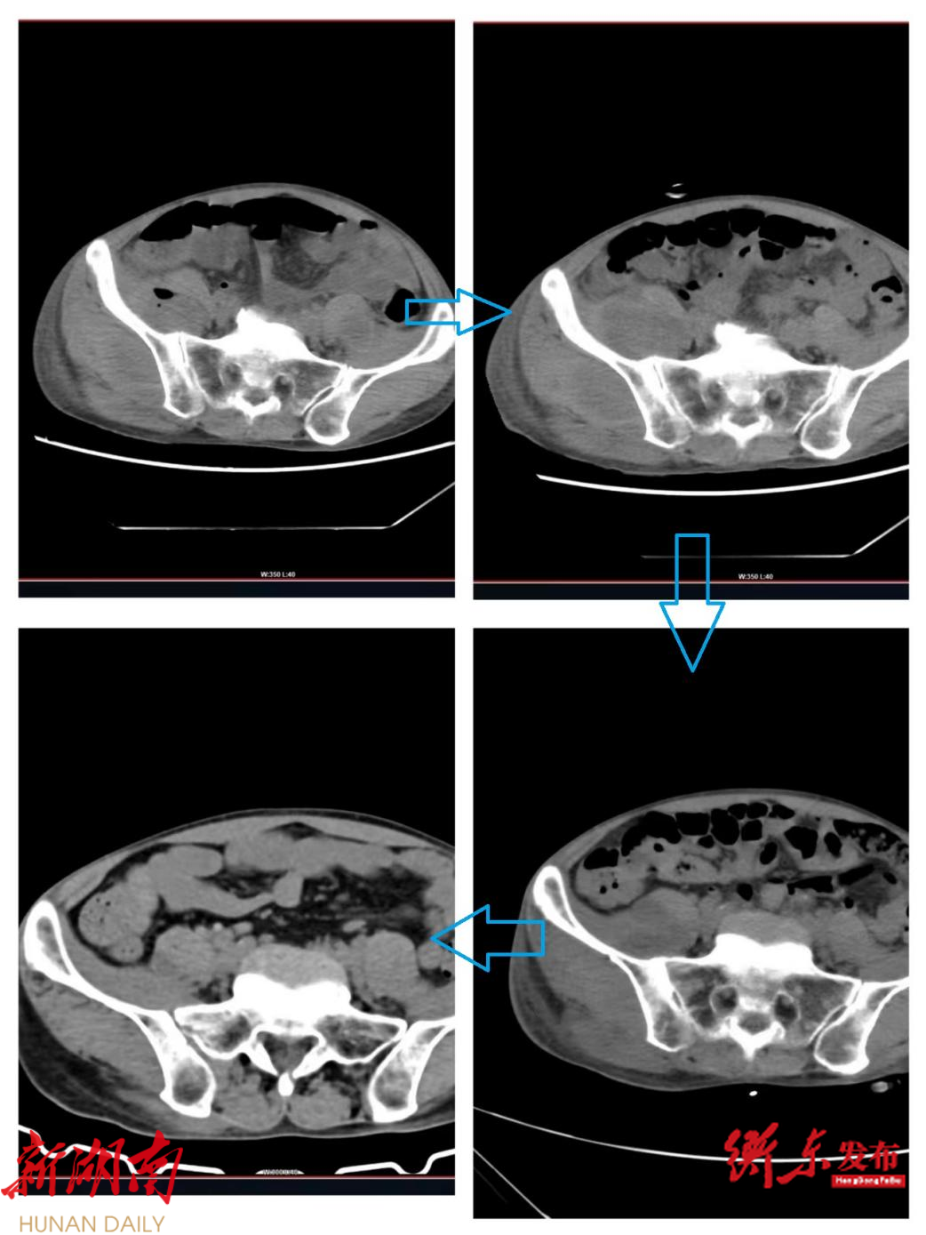
经检查,患者的CT提示全身多发脓肿并产气,但病因暂时不明确。为了明确病因,南华医院全科医学科组织医院重症医学科、放射科、感染科、介入血管外科、消化内科、检验科等多学科开展会诊,协作诊疗病人。
经过仔细询问患者病史及职业等情况,发现患者每天均会生食朝天椒,并且他的职业也是备餐员,经常会接触海鲜等生食,极易污染。根据这些情况,血培养结果提示可能存在沙门菌感染。通过南华医院多学科的通力协作,终于揭开了颜先生患病的“谜团”。但是患者多发脓肿,他也并非一次性大量接触沙门菌,这说明并非急性沙门菌感染,全科团队考虑可能是少量多次感染沙门菌所致。
在明确病因后,医院对患者进行了多次引流,并联合抗生素治疗和营养支持治疗。这些措施取得了显著效果,患者的多项症状得到了明显缓解,各项指标也恢复正常。经过顺利地治疗康复,颜先生终于可以出院了。南华医院全科医学科也将进行定期的随访工作,以确保患者的健康稳定。
这一病例的成功治愈充分展示了南华医院全科医学科在处理未分化疾病、多病共存和疑难杂症方面的卓越诊治能力;同时,这也体现了南华医院在多学科协作诊治方面的综合实力。南华医院全科医学科在省内率先开设肠道微生态门诊,并积极推广肠道微生态疗法在各种疾病治疗中的应用,充分展示了其在引进新技术和新疗法方面的开拓和创新精神。
全科小知识
沙门氏菌是肠杆菌科的一种细菌,是革兰氏阴性杆菌,为致病菌。沙门氏菌感染是由各种沙门氏菌引起的急性传染病,主要是由被沙门氏菌感染的肉食,如鸡、鸭、蛋、猪、牛、羊等引发的。人食用了被污染的食品后,会引起细菌性感染,进而发生食物中毒。以婴幼儿、严重慢性病病人为易患人群,尤其是婴幼儿,由于免疫力不强,常常会发生反复感染。另外,该病还呈现出容易在集体用膳单位和饭店发生集体感染的特征。沙门氏菌感染之后,患者出现比较严重的症状,包括恶心、呕吐、腹痛、头痛、畏寒和腹泻等,同时还常常伴有乏力、肌肉酸痛、视觉模糊、中等程度的发热、躁动不安和嗜睡。一般延续时间为2~3天,平均致死率为4%左右。感染沙门氏菌的主要原因是摄入含有大量沙门氏菌属感染的食品所引起的,一般感染之后在12至14小时内出现症状。
切记!!!不可生食,生食与熟食应该分开处理!!!
一审:肖浩宇
二审:廖婷婷
三审:刘晓钰
责编:肖浩宇
来源:南华大学附属南华医院

湖南日报新媒体