新衡山客户端6月19日讯(记者:赵诗 向微 通讯员:韦李灵)儿时误吞了一个小铁片,竟在体内“潜伏”了近半个世纪,近日,衡山县人民医院呼吸与危重症医学科成功从患者气管中取出一枚留存近50年的铁片,解开了困扰患者半个世纪的咳嗽顽疾“谜团”。

原来,市民康先生50年来一直反复咳嗽,进食时频繁出现恶心、呕吐等症状,起初,康先生及其家人以为是其体质弱导致,并未引起重视,也未曾前往医院系统就诊。但就在近期,康先生咳嗽症状突然加重,在县人民医院就诊进行CT检查后,发现其左侧支气管存在异物,肺部化脓性感染。随即,医院为其安排了支气管镜检查。

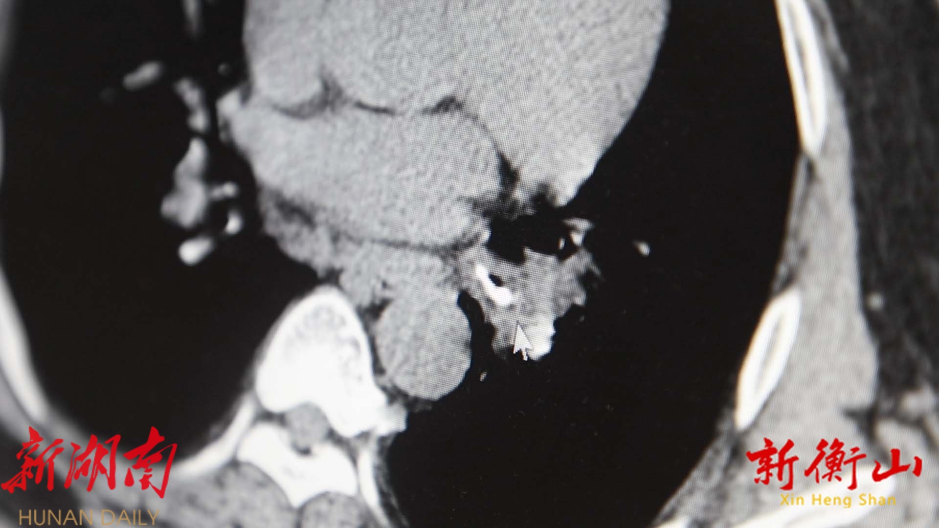
经过支气管镜检查后,医生发现,在康先生的气管内,卡着一枚指甲盖大小的铁片。康先生这才回忆起,自己年少时在玩耍过程中不慎误吞过一个小铁片,但由于当时医疗设备的限制,医生仅建议其食用韭菜促进异物排出再复查,因为当时不够重视,也没有复查过,导致这枚小小的铁片在其气管中“潜伏”近50年,成为引发他多年病痛的“罪魁祸首”。
“如果不是这个CT把它照了出来,我都想象不到,有这么一块铁片一直在里面。”回忆起当时的情景,患者康先生还是觉得十分不可思议。
“我们在CT上做了评估,是一个1.5乘以3厘米大小的异物,钳夹出来才发现是一个拇指大小的铁片。”衡山县人民医院呼吸与危重症医学科副主任医师刘东阳告诉记者。
确定异物位置后,呼吸与危重症医学科迅速为患者实施了“支气管镜下异物取出”,镜下清晰地发现了那枚藏匿已久的铁片,耗时40多分钟,这枚带着褐色钙化斑的近50年的小铁片被医生轻轻地夹了出来。
“现在呼吸道都觉得畅通好多了,也不会像以前那样动不动就觉得不舒服了,真心感谢这些医务人员。”康先生表示。
目前,康先生恢复情况良好,咳嗽、咳痰等症状已明显缓解,肺部感染也得到有效控制。
据了解,气管异物是一种严重且可能危及生命的疾病,尤其对于长期留存的异物,会引发反复感染、气道狭窄等一系列并发症。此次成功取出留存近50年的异物,不仅彰显了县人民医院在呼吸内镜诊疗领域的深厚技术积淀,更为同类复杂病症的诊疗提供了宝贵经验。
“广大市民尤其是儿童和老年人,日常生活中一定要注意避免误吞异物,一旦发生误吞情况,务必及时就医,切不可抱有侥幸心理,以免造成严重后果。”刘东阳表示。
责编:向微
一审:廖晶
二审:何思霞
三审:文峰
来源:衡山县融媒体中心
湖南日报新媒体